Step 2 – The Stomach, Pylorus, Proximal Duodenum and Left Limb of the Pancreas

In conjunction with reading the following, please watch the ‘Full Monty – Key Skills for Small Animal Abdominal Ultrasound’ online video lessons on the stomach, pylorus, duodenum and the pancreas to help consolidate your appreciation of the scan technique and your recognition of normal ultrasound characteristic appearances for these Step 2 abdominal structures.
The Stomach
Anatomy Refresher

The lie of the stomach and position of the pylorus varies in the canine and feline patient and this will be particularly noticeable when assessing the gastric outflow tract. Also, the long axis of the stomach in dogs lies more horizontal, across the spine and patient midline, whereas in cats it lies more vertical and parallel to the spine and to the left of the patient midline.

In the canine patient, the pyloroduodenal junction and cranial duodenal flexure are more lateral in position when compared to the feline patient.

Canine gastric submucosal layer is thin in dogs (as seen in the small intestines), however in cats the submucosal layer is prominent and hyperechoic in the fundic region secondary to fat deposition
In dogs, the transition from pyloroduodenal angle to proximal duodenum is prominent when compared to cats
Technique for Scanning the Stomach
- Patient remains in the right lateral recumbency position following on from Step 1.
- Start with the transducer at the xiphisternum and scan in long axis again with the orientation marker towards the patient’s head, your thumb should once again be horizontal to the table top if using the racket grip.
- Direct the transducer cranially and midline towards the patient’s stomach.
- Systematically fan through the stomach using multiple para-sagittal sweeps, angling the transducer down towards the examination couch for the gastric outflow tract, pylorus and proximal duodenum and then through the midline for the body of the stomach and up towards the ceiling (left lateral aspect of patient) for the fundus.
- Remember that since the gastric outflow tract of the stomach runs across the patient midline (for both canine and feline patients), the stomach will be viewed in short axis section on the screen when scanning in long axis.
- Reduce near field TGC and overall gain.
- When scanning, it is important to consider adjusting the depth (as part of your image optimisation protocol) to include all the gastric margins, allowing the stomach to be assessed in its entirety – scan beyond the gastric cranial, lateral, medial and caudal borders for completeness.
- Once you have assessed the stomach in long axis plane of the patient, rotate the transducer through 90 degrees counter-clockwise, so that the orientation marker and your thumb are now likely to be pointing down towards the table top. Assess the stomach in its entirety in short axis plane of the patient (this will sweep will produce an oblique or long axis view of the stomach!). Repeat sweeping through the gastric margins, moving the probe through the right lateral, mid and left lateral aspects of stomach to include the margins.
- For difficult stomach and proximal duodenal assessment in deep chested animals, it may be necessary to move patient into dorsal or even left lateral recumbency position to obtain a good acoustic window – ALWAYS turn patient with legs under to avoid a gastro-duodenal volvulus (GDV).
- Assess the pylorus and proximal duodenal junction in both long and short axis planes for continuity of layers (often more difficult in large / deep-chested dogs).
- For technically challenging views of the pylorus, it may be necessary to extend the standard close clip on the patient to enable an intercostal scan approach.
- Alternatively, to visualise the pylorus well, it may be easier to scan from the right underside of the patient by following the proximal descending duodenum cranially to meet the stomach rather than following the gastric antrum distally to the duodenum Adaptability is key to good ultrasound technique.
Normal Ultrasound Characteristics
- Multi-layered, curvilinear structure with characteristic alternating hypo- and hyperechoic wall layer architecture, (which is continuous throughout the GI (gastro intestinal) tract).
- Lumen- mucosa interface (white or hyperechoic).
- Mucosa (black or hypoechoic).
- Sub-mucosa (white or hyperechoic).
- Muscularis (black or hypoechoic).
- Serosa/subserosa (white or hyperechoic).
- Remember this by: GIT wall layers starting with ‘S’ and ‘S’ for stars which are bright (white) and GIT wall layers starting with ‘M’ and ‘M’ for Moon which is seen when it is dark (black).
- Thickness is variable and dependent on fasting status.
- Invaginations into the lumen represent normal rugal folds.
- Normal gastric wall thickness is 3-5mm inter-rugal in dogs and 2mm inter-rugal in cats – always measure at an inter-rugal location (ventro-dorsal direction) to avoid false positives for focal thickening.
- Normal gastric peristalsis is 4-5 contractions per minute.
- Remember it is more accurate to differentiate the full wall thickness if the gastric wall is assessed and measured in short axis rather than long axis (appears stripey in long axis and difficult to separate wall layers).
- Technical challenges include rugal folds, gas, gastric contents – reverberation artefacts (ring down, comet-tail).
Need to Appreciate and Assess
- Measure gastric wall at inter-rugal location
- Technical challenges include rugal folds, gas, gastric contents – reverberation artefacts (ring down, comet-tail)
- Move to patient’s right for pylorus and proximal duodenum (dogs) or midline (cats)
- Reduce near field TGC and overall gain
- Cardia section of stomach is difficult to visualise due to deep cranial position, but fundus, body and pyloric antrum are usually seen.
- Look for wall irregularities, loss of wall layers pattern, strong posterior acoustic shadowing/ attenuation which may raise suspicion of a FB, bright defect in gastric wall mucosa containing gas may be indicative of ulceration
- Look for any prominent gastric lymph nodes
Magnified view of normal gastric wall layer architecture
Normal fluid gastic content – prominent luminal invaginations represent rugal folds
Normal rugal folds and gastric wall layer. Characteristic sub-mucosal, luminal comet-tail artefacts confirm presence of gas within stomach – unable to visualise any gastric detail or content distal to the gas
The Duodenum
Anatomy Refresher

The GI Tract – duodenum seen in yellow
Relationship of the stomach, duodenum, pancreas and colon
Technique for Scanning the Duodenum
- Locate the long axis of the right kidney from the underside of the patient (assuming patient is still in right lateral recumbency).
- Release the pressure on the probe and sweep latero-ventral down towards the table in a long axis section and the descending duodenum will come into view. You will see the characteristic parallel stripes of the duodenum in long axis across the screen in the near field.
- Follow this section cranially in a long axis towards the pylorus, if you can see the duodenum entering the stomach at the pylorus, you can be sure you started your assessment on the descending and not the ascending duodenum.
- Now slide the probe caudally, still in a long axis along the descending duodenum to the duodenal flexure. You may need to apply a little pressure at this point to follow the flexure around and into the ascending duodenum.
- Now follow the ascending duodenum cranially, (still in long axis). As the duodenum disappears under the colon, you may well lose sight of it (because of the colonic gas). At this point, take a quick glance at the depth level on your screen and then and pick it up at the same depth, if possible as you get beyond the gas more cranially
- When you have assessed all the duodenum in a long axis, you need to rotate the probe and repeat the whole length from pylorus to deep cranial ascending duodenum in a short axis section (identify and follow the coffee bean!).
- Remember that following linear structures, especially from the underside of the patient requires fine motor skills and it takes time and practice at aligning the probe scan plane when ‘chasing’ a linear structure.
Normal Ultrasound Characteristics
- The duodenum has the same characteristic wall layer pattern as stomach;
- Mucosa (black or hypoechoic)
- Sub-mucosa (white or hyperechoic)
- Muscularis (black or hypoechoic)
- Serosa/subserosa (white or hyperechoic)
- Duodenum wall thickness ≤ 6mm dogs, ≤ 4mm in cats
- Peyers patches are part of the normal anatomy, appearing throughout the GIT, but are more prominent within the duodenum. Peyers patches appear as regularly spaced hyperechoic triangles within the mucosal wall layer and can be mistaken for ulcers (ulcers will appear as defects in the luminal-mucosal layer within which hyperechoic air can become trapped).
- Can see the distal common bile duct insert into the duodenal papilla, distal to the pylorus and at the level of the proximal duodenum
Need to Appreciate and Assess
- The descending duodenum is the most laterally sited section of small intestine in dogs, and is the thickest segment of small bowel.
- In cats the duodenum and jejunum are a similar thickness to each other
- The distal and cranial section of the ascending duodenum corresponds to the duodenal-jejunal junction
- In a cross section / short axis view, the duodenum has a characteristic coffee-bean appearance.
- Cats have a thicker submucosal layer than dogs and dogs have a thicker mucosal layer than cats
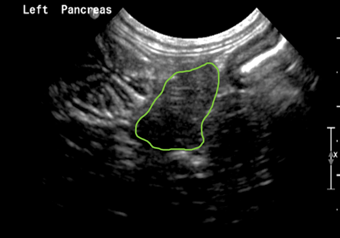
The Left Limb of Pancreas
Anatomy Refresher
The Left Limb of Pancreas

Midline long axis section of the patient – short axis of the gastric body and left limb of pancreas lie ventral to spleno-portal vein and cranial to the transverse colon in short axis
Midline short axis section of the patient – left limb of pancreas now viewed in long axis and lies ventral to the gastric body and the spleen
The Right Limb of Pancreas
Scanning from the right underside of the patient (patient in right lateral recumbency position), the long axis section of the right limb of pancreas and the descending duodenum can be seen running horizontally across the screen
Scanning from the right underside of the patient (patient in right lateral recumbency position), the short axis section of the right limb of pancreas is seen dorso-medial to the ‘coffee bean’ shaped descending duodenum (also seen in short axis)
The Aspire UCS Technique for Scanning the Left Limb of the Pancreas
- The cat and dog pancreas are different in appearance and position, so the scan technique needs to be modified slightly between species.
- With the patient maintaining the right lateral recumbency position, again position the transducer caudal to the xiphisternum in the midline of the patient with the orientation mark to the patient’s head.
- The racket grip is the best and most comfortable way to hold the probe for both pancreatic limb examinations, as assessment requires either a ventral or right lateral patient scan approach.
- Once again optimise the image, paying particular attention to adjusting the depth, focus and TGC.
- From the subxiphoid probe position, identify the greater curvature/caudal aspect of the stomach. This will be seen in its transverse/short axis on the left side of the screen
- Manipulate the probe slightly until you also have the colon to the right of the screen. Gas in the colon is a great help because it is easily recognisable as such.
- Once you have the stomach and colon visible, the third landmark to search for is the spleno-portal vein, which with careful probe movement will become visible in its long axis in the far field. These 3 landmarks form a triangle, in the middle of which will be the left limb of the pancreas in it’s transverse/short axis. The left limb of the pancreas therefore lies caudal to the greater curvature of the stomach, cranial to the transverse colon and ventral to the spleno-portal vein. The spleen can often be seen in the near field and can be used as an acoustic window in some patients.
- Further optimise your image so you can see the left limb pancreatic region in the centre of your screen.
- From this position, take note of the depth of the left limb as you rotate the probe to visualize the left limb in its long axis. It is easy to ‘slip off’ the structure and lose yourself, particular when the normal pancreas is often isoechoic to surrounding tissues. Knowing the depth you need to be looking at will help you to locate the pancreas again.
- Without sliding off the midline pancreas, rotate the probe anticlockwise (i.e., towards you) using fine probe movement. Move your hand slowly and keep your eye on the screen ( this takes practice and many who are new to ultrasound automatically look at their hand rather than the screen; don’t worry, it will become second nature with practice).
- The left limb of pancreas will elongate out into a long axis section (unless obscured by colonic or gastric gas)
- The pancreatic duct may be seen running through the centre of the left limb
The Aspire UCS Technique for Scanning the Right Limb of the Pancreas
- The anechoic tubular structure running through the middle of the right pancreatic limb in long axis is most likely to represent the pancreatic duct in cats and the pancreaticoduodenal vein in dogs. Apply Doppler to check for vascularity – pancreatic and biliary ducts will not show colour-fill. Remember though, don’t use doppler unless you know how to manipulate the controls properly)
- Apply plenty of gel to the probe and position the probe under the patient, just caudal to the right costal margin and angle dorsally to locate right kidney in long axis
- Optimise your image taking particular care with the depth, focus and TGC
- Slide the probe cranially, angle slightly ventral and release some of the pressure you are applying
- This will bring the long axis of the descending duodenum into view, running horizontally across the near field of the screen. The right limb of the pancreas is attached to the descending duodenum by mesentery and will be lying parallel to this section of the duodenum. Scan in the parasagittal plane through the duodenum to locate the right limb of pancreas in a long axis section.
- The pancreatico-duodenal vein serves as a confidence-boosting landmark in dogs.
- From the long axis view identify pyloroduodenal junction in its short axis section
- Rotate the probe through 90°, the small intestine has a prominent ‘coffee bean’ appearance when viewed in short axis and the right limb of the pancreas can be identified in its short axis as a triangular structure situated dorso-medial to the duodenum on the screen.
Normal Ultrasound Characteristics
- Both right and left pancreatic limbs form an elongated V-shaped structure, joined by the pancreatic body
- Normal pancreas is ill-defined when compared to the liver, spleen and kidneys due to the absence of a hyperechoic capsule.
- Each limb is normally small, thin and amorphous, although in short axis, the pancreas tends to be triangular in shape
- Often not seen in cats as it has the same acoustic impedance as surrounding mesentery/fat
- Pancreatic vein seen more clearly in right limb in dogs
- Pancreatic duct seen more commonly in and cats normally
- Pancreatic duct diameter < 1.2mm if seen in dogs, < 2.5mm in cats

The short axis section of the left limb of pancreas seen caudal to the contracted stomach (cartwheel shape on the left of the screen) and cranial to the colon (seen with hyperechoic lumen. A section of the spleno-portal vein is just visible immediately dorsal to the pancreas


The long axis section of the right limb of pancreas seen running horizontal across the screen

The short axis section of the right limb of pancreas seen medial and lateral to the descending duodenum (Coffee-bean shape)
Need to Appreciate and Assess
- The normal pancreas is much harder to visualise than an abnormal pancreas
- The pancreatic size, shape and echotexture can be an indicator of disease if considered to be abnormal
- The left limb is easier to see in cats than the right limb but is harder to see in dogs because of the likelihood of gas in the stomach and transverse colon.
- The right limb is the larger of the two pancreatic limbs in the canine patient.
- In cats, the right limb of the pancreas extends along the descending duodenum and then turns back on itself in a ‘hook’ shape.
- The pancreatic duct is often seen in the feline pancreas and can be used as a landmark in the difficult-to-see normal isoechoic pancreas.
- The body of the pancreas connects the two pancreatic limbs and if you have followed both limbs in a long axis from one to the other, you will have included the body in your evaluation.
- It is possible to have evidence of disease in one limb and not the other.
- A pancreas which looks normal on ultrasound does not exclude disease because it can take time for the disease process to manifest itself visually. Always take into consideration clinical signs and any lab findings and repeating the scan sometime later may show different appearances.
Now you need to practice, practice and practice more – focus solely on scanning all the structures in Step 2 in a comprehensive and systematic manner.
Measure any abnormal variants.
Don’t forget to optimise your image as you go and take correctly annotated, representative images of the structures under examination.